به گزارش پارس نیوز، 

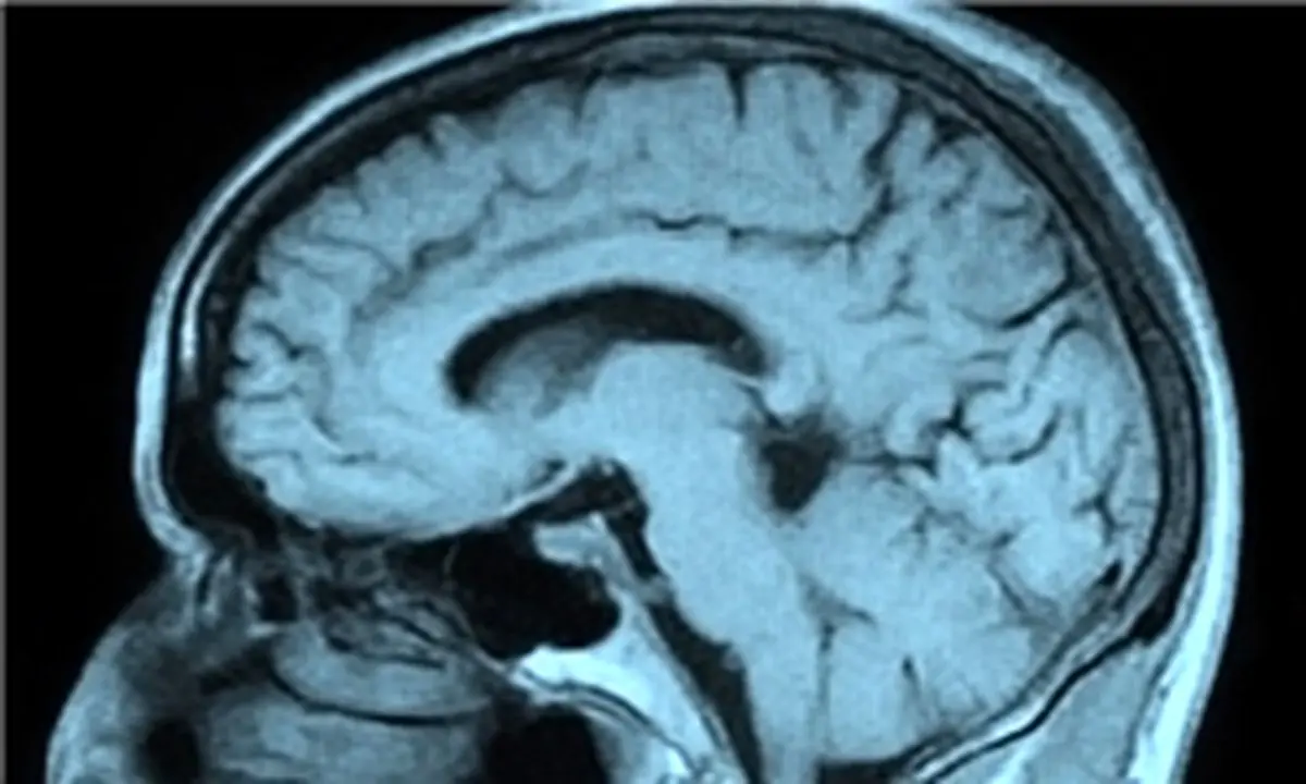
بیماری آلزایمر یک نوع اختلال عملکرد مغزی است که توانایی‌های ذهنی بیمار پس از ابتلا به صورت تدریجی ضعیف می‌شود. آلزایمر بارزترین نوع از انواع مختلف زوال عقل یا حافظه‌ است.

محققان بر این باورند که با توجه به عدم بازگشت روند تخریب سلول‌های مغزی در مرحله پیشرفته آلزایمر، بنابراین بهترین راهکار، تشخیص زودهنگام این بیماری قبل از شروع فرایند تخریب نورون‌های عصبی است.

تست هوش تشخیص‌دهنده زودهنگام آلزایمر بر خلاف سایر موارد گذشته توان حافظه را در بازه زمانی یک هفته می‌سنجد.

محققان در ادامه تحقیقات 35 داوطلب را مورد بررسی قرار دادند. 21 نفر از افراد داوطلب دارای جهش ژنی مربوط به پیدایش آلزایمر بودند. در طول تحقیقات از داوطلبان خواسته شد تا اسم اشیا مشخص و جزئیات آنها را بعد از هفت روز بیان کنند.

محققان پس از بررسی نتایج دریافتند افراد مستعد آلزایمر در طول هفت سال آینده، قادر به ارائه جزئیات اشیا پس از 30 دقیقه بودند، اما آنها بیشتر این جزئیات را پس از هفت روز فراموش می‌کردند.

طبق آخرین یافته‌های علمی بیماری آلزایمر ناشی از فعالیت نوعی پروتئین در مغز است که از ارتباط بین نورون‌های مغزی جلوگیری می‌کند.