دکتر حامد خندق‌آبادی، متخصص پریودنتولوژی درباره شایع‌ترین بیماری‌های لثه و مشخصات آنها، گفت: بیماری پریودنتال یک عفونت باکتریایی مزمن است که به لثه‌ها و استخوانی که دندان‌ها را حمایت می کند آسیب می‌رساند. دو نوع بیماری مشخص لثه وجود دارد؛ اول جینجی وایتیست است که در حد التهاب بافت نرم یا التهاب لثه باقی می ماند. علائم این بیماری خونریزی، تورم لثه و بد بویی دهان است اگر این بیماری به بافت های سخت و استخوانی زیرین تسری پیدا کند، نوع دوم بیماری یا پریودنتیت نمود پیدا می کند. شایع ترین نوع این بیماری، پریودنتیت مزمن است که نهایتا می‌تواند به لقی دندان و از میان رفتن دندان منجر شود.

ارتباط دیابت و بیماری‌های قلبی با لثه

وی گفت: البته چندین سال است که ثابت شده بیماری های لثه یا پریودنتال با باقی بیماری های بدن در ارتباط است؛ در واقع کسانی که از بیماری های لثه رنج می برند، قطعا مستعد بیماری های قلبی و عروقی خواهند بود و چنانچه زمینه های دیابت داشته باشند، احتمال مبتلا شدن به دیابت در آنها بیشتر است. همچنین این بیماری می تواند مشکلات تنفسی را تشدید و در خانم های باردار زمینه سقط جنین یا زایمان زودرس را ایجاد کند. به این ترتیب ارتباط تنگاتنگ بیماری های لثه (پریودنتال) با سایر بخش های بدن ثابت شده است و مردم باید حتما در این مورد اطلاعات خود را افزایش داده و موارد پیشگیری و چک مداوم دهان و دندان توسط متخصص را فراموش نکنند.

آیا رنگ لثه نشانه بیماریست؟
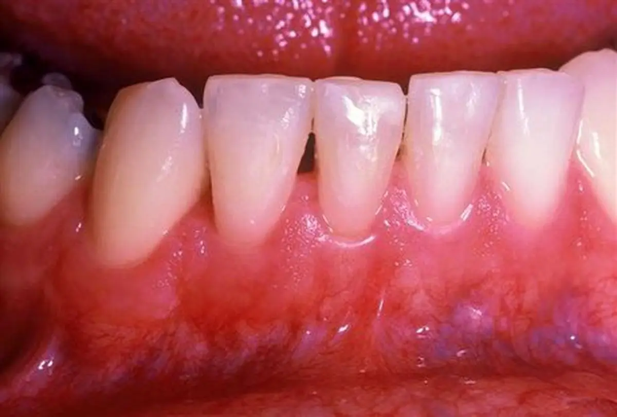
دبیر اجرایی هفدهمین کنگره بین المللی انجمن پریودنتولوژی ایران درباره رنگ لثه و نحوه تشخیص بیماری از این طریق گفت: تشخیص بیماری از طریق رنگ لثه توسط خود بیمار ممکن نیست، برخی بیماران مراجعه می کنند و می گویند رنگ لثه شان سیاه است و قطعا مشکلی دارد. به آنها توضیح میدهم که رنگ لثه هم مانند رنگ پوست در افراد متفاوت است. همان طور که پوست افراد روشن یا تیره است، لثه ها هم در افراد رنگ متفاوتی دارد و این بواسطه رنگ دانه هایی است که در پوست افراد است. البته مصرف سیگار می تواند باعث تیره تر شدن لثه شود. رنگ لثه ای نشانه بیماری است که لثه از رنگ صورتی به قرمز تیره یا بنفش تغییر رنگ دهد و حالت خون چکانی یا التهابی پیدا کند که معمولا با تجمع پلاک های میکروبی یا جرم زیاد همراه است.


هفدهمین کنگره انجمن پریودنتولوژی ایران هفته آخر مهر ماه در تهران برگزار می‌شود.